What every Intensivist should know about … Ammonia in liver failure Saturday, 1 June, 2024 ScienceDirect.com
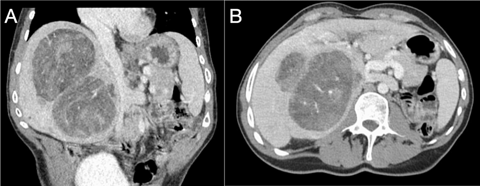
Liver Transplantation as a Treatment for Unresectable Hepatic Adenoma in a Patient With Abernethy Syndrome Monday, 20 May, 2024 Cureus
How going meatless for just one meal can benefit liver patients: study Friday, 3 May, 2024 Yahoo Singapore News
People with dementia may actually have a form of liver disease, study finds Sunday, 25 February, 2024 MSN
What every Intensivist should know about … Ammonia in liver failure Saturday, 1 June, 2024 ScienceDirect.com
Liver Transplantation as a Treatment for Unresectable Hepatic Adenoma in a Patient With Abernethy Syndrome Monday, 20 May, 2024 Cureus
How going meatless for just one meal can benefit liver patients: study Friday, 3 May, 2024 Yahoo Singapore News