‘The true effect of the pandemic on people with epilepsy is starting to emerge’ – Nursing Times Friday, 11 September, 2020 Nursing Times
Dumfriesshire couple’s Scottish Parliament debate hope over campaign to help children harmed by epilepsy drug – Daily Record Monday, 7 September, 2020 Daily Record
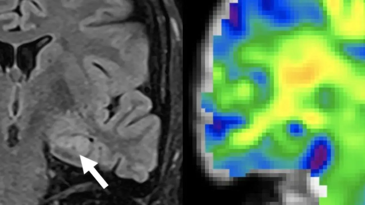
Using Magnetic Resonance Elastography to Detect Epilepsy – Technology Networks Thursday, 3 September, 2020 Technology Networks
I Was Diagnosed with Epilepsy Without Even Knowing I Was Having Seizures – Shape Magazine Wednesday, 5 August, 2020 Shape
Mozart reduces seizures in individuals with epilepsy – The Hippocratic Post Monday, 20 July, 2020 The Hippocratic Post
Cannabis oil must be made easily available on NHS to help children with epilepsy – Daily Record Tuesday, 14 July, 2020 Daily Record
Rob Lay: “How my photography helps me cope with epilepsy” – Your Thurrock Monday, 13 July, 2020 Your Thurrock
Modified Form of Vitamin K Shows Promise Against Drug-resistant Epilepsy – Technology Networks Tuesday, 7 July, 2020 Technology Networks
How to Navigate Epilepsy Care – University of Kentucky Monday, 6 July, 2020 University of Kentucky News
Three molecules show promise as epilepsy treatments in pre-clinical trials – Drug Target Review Friday, 26 June, 2020 Drug Target Review
International study discovers three potential new targets for treating epilepsy – Medical Xpress Thursday, 25 June, 2020 Medical Xpress
Face mask exemptions: how to ensure you don’t get fined if you’re exempt – Disability Horizons Monday, 22 June, 2020 Disability Horizons
Pontypool woman says epilepsy support group changed her life – South Wales Argus Monday, 22 June, 2020 Southwales Argus
Government urged to end deadlock over medical cannabis prescriptions for severely epileptic children – The Independent Monday, 22 June, 2020 Independent.co.uk
Recommendations for Optimizing Epilepsy Care During the COVID-19 Pandemic – Neurology Advisor Thursday, 18 June, 2020 Neurology Advisor
Rachel from Winchester helps Epilepsy Action website project – Hampshire Chronicle Thursday, 4 June, 2020 Hampshire Chronicle
Tragic photo showed my boy smiling at school, a day later he was dead from a seizure – I had no idea he had epilepsy – The Sun Tuesday, 2 June, 2020 The Sun
Overcoming Untreated Epilepsy in the Developing World: the Way Forward – WFN News Friday, 29 May, 2020 World Federation Of Neurology
Lottery winner trains assistance dog after brother’s epilepsy death – Shropshire Star Wednesday, 20 May, 2020 Shropshire Star
Local legend: Cambs children’s author creates ‘fuzzy monster’ to help explain epilepsy – Cambridgeshire Live Saturday, 4 March, 2023 Cambridge News
Is There A Link Between Migraines And Epilepsy? — Health Digest Monday, 20 February, 2023 Health Digest
Ketogenic diet for epilepsy control and enhancement in adaptive behavior – Nature.com Monday, 6 February, 2023 Nature.com